• 미국
  • 중국
  • 일본
  • 태국
SISUN PREMIUM EYE SURGERY

하안검

노화현상으로 인해 처지고 튀어나온 눈 밑을 개선하여
생기 가득 탄력 있는 동안 눈매 완성!

  • 수술시간
    40분
  • 마취방법
    수면/국소
  • 실밥제거
    7일
  • 입원여부
    당일퇴원
  • 회복시간
    7일

*성형수술 및 치료 후 개인에 따라 예상치 못한 출혈, 감염, 염증 등의 부작용이 발생할 수 있으므로 주의를 요합니다.

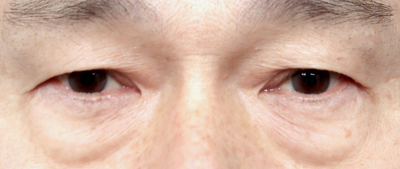
하안검 수술이란?

하안검(2개월)

나이가 들면 눈 밑 지방이 늘어지면서 불룩하게 튀어나오는데
하안검은 이러한 눈 밑의 지방을 제거하거나 재배치하는 수술입니다.
하지만 지방을 무리하게 제거할 경우 오히려 눈 밑이 꺼져
더 나이 들어 보일 수 있으므로 주의해야 합니다.

시선성형외과에서는 눈 밑의 자연스러운 입체감을 위해
지방의 양과 분포도, 돌출 형태 등과 눈 주변의 여러가지 상황을 고려하여
예기치 못한 변형이 생기지 않도록 철저한 계획 하에 하안검 수술을 진행하고 있습니다.

  • 이마거상+하안검+뒤트임+밑트임(7개월)

  • 상안검+눈썹거상+하안검(4개월)

  • 뒤트임(재)+밑트임(재)+하안검(재)(3개월)

하안검 수술 대상

  • 눈 밑 피부가
    축 늘어진 경우
  • 눈 밑 주름이 심해
    그늘져 보이는 경우
  • 어두워 보이는
    인상의 개선을
    원하는 경우
  • 눈 밑 지방이
    불룩하게 돌출된 경우
  • 눈 밑 지방과
    다크서클이
    함께 분포한 경우

하안검 수술을 하면 애교살이 없어지나요? NO!

불룩하게 튀어 나온 눈 밑 지방

불룩하게 튀어 나온 눈 밑 지방

되살아나는 동안 눈 밑 애교살

동안 눈 밑은 하안검 수술을 통해 젊었을 때의
애교살 모양으로 복원시키는 것이 핵심입니다.

눈 밑의 처진 피부와 애교 근육을 절제하면
자칫 밋밋한 눈 밑을 만들 수 있습니다.

시선성형외과에서는 애교 근육을 절제하지 않고
애교모양을 만들기 위해 외안각 고정술을 시행합니다.
외안각 고정술을 통해 눈 밑의 피부를 눈꼬리 쪽으로
당겨 올리면 오히려 사라진 애교살이 되살아 나는
효과를 얻습니다.

상안검+하안검(2개월)

시선성형외과 신재훈 원장

하안검 부문 논문 게재

하안검 수술 후 안륜근을 이용한 눈 밑 애교살의 회복

A New Method for FORMING the Pretarsal Fullness After Lower Blepharoplasty

ARCHIVES OF PLASTIC SURGERY, VOL 41 NO.6 NOVEMBER, 2014

시선성형외과 신재훈 대표원장의 ‘하안검 수술 후 안륜근을 이용한 눈 밑 애교살의 회복’ 연구 논문은 그 우수성을 인정 받아 대한성형의학회 및 세계적인 권위의 학술지에서도 채택되었습니다.
시선성형외과만의 독자적인 하안검 수술법으로 안정성과 뛰어난 수술효과에 대해 전세계적인 호평을 받았습니다.

하안검 수술을 하면 눈이 뒤집히나요 NO!

과도한 절제 없이, 부작용 걱정 없이

그렇지 않습니다.
하안검 수술의 대표적인 부작용은 안검외반 현상입니다.

안검외반은 속눈썹 안쪽의 피부를 과도하게 절제할 경우
눈 아래꺼풀이 뒤집어져 붉은 결막이 노출되는 증상입니다.

시선성형외과는 눈 밑 교정 후, 눈꼬리를 단단히 고정하여
수술 후 눈이 뒤집히거나 눈의 모양에 변화가 생기지 않습니다.

눈썹거상+하안검(7주)

눈썹거상+하안검(7주)

하안검(6주)

하안검 수술 방법

수술 전

<문제점 분석>
눈 밑 지방이
불룩하게 돌출된 상태

STEP01

눈 아래쪽 최소 절개

STEP02

불필요한 지방 제거
혹은 재배치

STEP03

늘어진 근육 고정,
외안각 고정술을 통해
애교살 보존
주름 편 후 봉합

수술 후

생기 있는
동안 눈매 완성

01

여자 하안검

눈썹거상+하안검(2개월)

하안검(4개월)

눈썹거상+하안검(2년)

눈썹거상+하안검(5개월)

눈썹거상+하안검(5개월)

상안검+눈썹거상+하안검(4개월)

하안검(4개월)

하안검(6주)

눈썹거상+하안검(11개월)

눈썹거상+하안검(5개월)

눈썹거상+하안검(7주)

눈썹거상+안와지방이식+하안검(재)+눈밑지방이식(6개월)

상안검눈매교정+눈썹거상+윗트임+하안검(10개월)

눈썹거상+하안검(2개월)

02

남자 하안검

하안검(1개월)

하안검(2개월)

하안검(8개월)

눈썹거상+하안검(7주)

하안검(7주)

눈썹거상+하안검(5개월)

눈썹거상+하안검(6주)

눈썹거상+하안검(6개월)

눈썹거상+하안검(1주)

하안검(1개월)

시선성형외과 하안검 다릅니다.

동안눈매+애교살 보존

1세대 하안검

(일반하안검)

눈 밑 지방제거 및 재배치
2세대 하안검

(일반하안검)

눈 밑 지방제거 및 재배치
눈 밑 늘어진 피부 절제
3세대 하안검

(일반하안검)

눈 밑 지방제거 및 재배치
눈 밑 늘어진 피부 절제
지방재배치
4세대 하안검
눈 밑 지방제거 및 재배치
눈 밑 늘어진 피부 절제
지방재배치
눈 밑 리프팅
5세대
시선 하안검
눈 밑 지방제거 및 재배치
눈 밑 늘어진 피부 절제
지방재배치
눈 밑 애교살 보존
다크서클 개선
잔주름 개선

눈 밑 입체감과 애교살 보존

잔주름 & 다크서클 동시 개선

자연스러운 표정 연출

수술전후영상

  • [B&A] 이마거상+뒤트임(재)+밑트임(재) 5개월차
    #이마거상#뒤트임#밑트임
  • [B&A] 이마거상+뒤트임+밑트임(재) 2년1개월차
    #이마거상#뒤트임#밑트임
  • [B&A] 이마거상 1년2개월차
    #이마거상#1년2개월
  • [B&A] 두개골고정|눈재수술+이마거상 4개월차
    #부분절개눈매교정 재수술#이마거상#4개월
  • [B&A] 이마거상 6개월차
    #이마거상#6개월
  • [B&A] 이마, 눈썹, 눈꺼풀 처짐, 졸린눈, 듀얼트임|이마거상+뒤트임 재수술+밑트임 재수술_1년2개월
    #이마거상#뒤트임 재수술#밑트임 재수술#1년2개월
  • [B&A] 중년눈성형, 처진눈|이마거상_5개월
    #이마거상#5개월
  • [B&A] 중년눈성형, 처진눈, 세모눈|상안검눈매교정 재수술+윗트임+이마거상_8개월
    #상안검눈매교정 재수술#윗트임#이마거상#8개월
  • [B&A] 중년눈성형, 듀얼트임, 처진눈, 눈밑지방|이마거상+뒤트임+밑트임+하안검_1년8개월
    #이마거상#뒤트임#밑트임#하안검#1년8개월
  • [B&A] 이마처짐, 듀얼트임|이마거상+뒤트임+밑트임 재수술_9개월
    #이마거상#뒤트임#밑트임 재수술#9개월
  • [B&A] 중년눈성형, 처진 눈, 눈썹, 이마|이마거상_2개월
    #이마거상#2개월
  • [B&A] 중년눈성형, 듀얼트임, 처진눈, 눈밑지방|이마거상+뒤트임+밑트임+하안검_1년3개월
    #이마거상#뒤트임#밑트임#하안검#1년3개월
  • [B&A] 이마, 눈썹, 눈꺼풀 처짐, 듀얼트임|이마거상+뒤트임 재수술+밑트임 재수술_6개월
    #이마거상#뒤트임 재수술#밑트임 재수술#6개월
  • [B&A] 중년눈성형, 처진 눈, 눈썹, 이마|이마거상_4개월
    #이마거상#4개월
  • [B&A] 중년 눈성형, 처진 눈, 이마, 눈썹, 눈앞머리 주름|이마거상+뒤트임+밑트임 재수술_2개월
    #이마거상#뒤트임#밑트임 재수술#2개월
더보기

수술경과영상

  • [경과] 이마거상 / 상안검, 중년눈성형, 눈썹거상
    #이마거상#상안검#중년눈성형#눈썹거상
  • [경과] 이마거상 / 하안검, 중년성형, 뒤밑트임, 쌍꺼풀수술, 눈썹거상
    #이마거상# 하안검# 중년성형# 뒤밑트임# 쌍꺼풀수술# 눈썹거상#1년
  • [경과] 함몰눈/이마거상, 뒤트임, 밑트임, 뒤밑트임, 쌍꺼풀, 트임수술, 거상수술, 함몰눈교정
    #함몰눈# 이마거상# 뒤트임# 밑트임# 뒤밑트임# 쌍꺼풀# 트임수술# 거상수술# 함몰눈교정# 5개월
  • [경과] 중년처진눈/ 상안검눈매교정,이마거상,처진눈,중년눈성형,윗트임
    #중년처진눈#상안검눈매교정#이마거상#처진눈#중년눈성형#윗트임#2년
  • [경과] 갈고리눈/갈고리트임,이마거상,앞트임,윗트임,축돌리기,앞트임복원,중년눈성형
    #갈고리눈#갈고리트임#이마거상#앞트임#윗트임#축돌리기#앞트임복원#중년눈성형#6개월
  • [경과] 중년눈성형/ 노화처짐,처진눈,눈썹거상,하안검,이마거상,상안검
    #중년눈성형# 노화처짐#처진눈#눈썹거상#하안검#이마거상#상안검#1년8개월
  • [경과] 이마거상/ 쌍꺼풀,처진눈,두개골고정,부분절개눈매교정,눈재수술
    #이마거상# 쌍꺼풀#처진눈#두개골고정#부분절개눈매교정#눈재수술#4개월
  • [경과] 중년눈성형/ 처진눈,세모눈,상안검,눈썹거상,윗트임
    #중년눈성형# 처진눈#세모눈#상안검#눈썹거상#윗트임#10개월
  • [경과] 이마거상/ 처진눈,두툼한눈,중년눈성형
    #이마거상#처진눈#두툼한눈#중년눈성형#6개월
  • [경과] 중년눈성형, 처진눈,삼각눈,눈밑지방
    #하안검# 이마거상# 듀얼트임# 1년8개월
  • 중년눈성형, 처진이마, 눈가주름, 미간주름
    #이마거상# 5개월
  • [경과] 이마, 눈썹, 눈꺼풀 처짐, 듀얼트임
    #이마거상#뒤트임#밑트임#6개월
  • [경과] 중년눈성형, 꼬막눈, 처진눈
    #이마거상#뒤트임#밑트임#2개월
  • [경과] 이마처짐, 듀얼트임
    #이마거상#뒤트임#밑트임재수술#9개월
  • [경과] 중년눈성형, 처진눈, 눈썹, 이마
    #이마거상#2개월
더보기

하안검

버튼이 표시된 사진을 클릭하시면 더 자세한 내용을 볼 수 있는 블로그로 연결됩니다.
Case 11
하안검+절개 눈매교정(11개월)
Before
After
진단

눈 밑에 지방이 뭉쳐있어 울퉁불퉁하고 지방의 굴곡에 따라 주름이 많이 생긴 상태입니다.

수술Note

뭉쳐있던 지방을 재배치하여 눈 밑의 불룩한 현상을 없애니 주름도 함께 개선되었습니다.

Case 12
하안검+눈썹거상+자연유착매몰(7개월)
Before
After
진단

눈 밑이 불룩하게 튀어나왔고 다크서클도 함께 분포해 있는 상태입니다.

수술Note

눈 밑의 지방을 제거하고 다크서클도 개선되도록 하안검 수술을 진행했습니다. 눈 밑이 평평해지면서 거뭇한 다크서클도 개선된 것을 확인할 수 있습니다.

Case 13
하안검(1개월)
Before
After
진단

눈 밑이 전체적으로 불룩하게 늘어져 있어 피곤한 인상을 줍니다.

수술Note

애교살이 자연스럽게 보이길 원했기 때문에 애교살의 근육을 보존하여 수술하면서, 지방을 재배치하여 눈 밑을 평평하게 만들었습니다.

Case 14
하안검+눈썹거상(1개월)
Before
After
진단

정면에서 보면 거뭇한 색상 때문에 눈 밑이 꺼져 보이지만 측면에서 보면 오히려 불룩한 것을 알 수 있습니다.

수술Note

지방이 뭉쳐 있지만 피부가 얇아 혈관이 비치는 상태이므로 뭉쳐 있는 부분과 혈관이 비치는 부분에 지방을 적절히 배치하여 눈 밑을 생기 있게 개선했습니다.

Case 15
하안검+눈썹거상(2개월)
Before
After
진단

피부 처짐도 심하고 눈가주름도 많은 상태입니다.

수술Note

하안검 수술을 통해 눈 밑의 주름을 개선했고, 눈썹거상을 병행하여 눈가의 굵은 주름도 사라진 것을 볼 수 있습니다.

Case 16
하안검+눈썹거상(1개월)
Before
After
진단

눈 밑에 지방이 뭉쳐있고 다크서클도 함께 분포해 있습니다.

수술Note

하안검 수술을 통해 뭉쳐 있던 지방을 재배치하면서 다크서클도 개선했습니다.

* 환자의 사전동의를 받아 촬영한 사진입니다.

모델스토리

  • 앞트임 후 사나워진 인상, 앞트임복원+뒤트임 후 변화는? [시선성형외과 리얼셀피]
    #앞트임복원# 뒤트임
  • [리얼셀피]앞트임복원, 듀얼트임 회복기간은?
    #앞트임복원# 듀얼트임# 뒤밑트임# 트임재수술
  • [shorts] 과도한 앞트임 부작용!! 앞트임복원으로 이렇게?!
    #shorts#수술전후#앞트임복원#앞트임부작용
  • [성형로그] 꼬막눈개선, 풀트임 결과는?
    #리얼모델#모델#풀트임#반달눈성형
  • [리얼셀피]뒤밑트임 리얼셀피
    #뒤밑트임#듀얼트임#리얼셀피
  • [리얼셀피]듀얼트임 리얼셀피
    #듀얼트임#뒤트임#밑트임#자연유착
  • [리얼셀피]반달눈성형,풀트임 리얼셀피
    #앞트임#윗트임#뒤트임#밑트임#반달눈성형.리얼셀피
  • [리얼셀피] 듀얼트임 리얼셀피
    #듀얼트임#뒤트임#밑트임#리얼셀피
  • [성형로그] 뒤트임,밑트임,눈썹거상
    #리얼모델#프로필촬영#모델#듀얼트임
더보기

시선TV

  • [성형캐비닛] 온라인 성형 상담! 2편 어떻게 변했을까? (뒤밑트임|꺼진눈,겹주름 |중년눈성형|남자눈성형|극한눈성형)
    #성형캐비닛#온라인성형상담#뒤밑트임#꺼진눈#겹주름#중년눈성형#남자눈성형#극한눈성형
  • [성형캐비닛] 온라인 성형 상담! 수술 후 결과까지?! 1편 (첫눈성형|소세지눈|앞트임복원|뒤트임복원|갈고리트임)
    #성형캐비닛#온라인성형상담#첫눈성형#소세지눈#앞트임복원#뒤트임복원#갈고리트임
  • [성형캐비닛] 남자 눈성형, 여자 눈성형의 차이점!|시선성형외과
    #성형캐비닛#남자눈성형#여자눈성형#남자쌍꺼풀#여자쌍꺼풀#남자트임#남자듀얼트임#반달눈성형
  • [성형캐비닛] 중년눈성형 실패하는 이유 000때문이다. 실패하지 않으려면?!
    #성형캐비닛#중년눈성형#이마거상#눈썹거상#상안검#하안검
  • [성형캐비닛] 사납고 무서워 보이는 눈 바꾸려면? 개선 방법 알아보자 (부릅뜬눈/삼백안/사백안/부작용)
    #성형캐비닛#부릎뜬눈#삼백안#사백안#부작용#사나운눈#무서운눈
  • [성형캐비닛] 돌출 눈? 함몰 눈? 내 눈에 맞는 성공적인 눈 성형을 하려면?! (ft. 쌍수,트임)
    #성형캐비닛
  • [성형캐비닛] 나뭐해야뎀?, 눈밑지방재배치 VS 하안검 차이, 수술 후 결과 보기
    #성형캐비닛#눈밑지방재배치#하안검#눈밑지방#다크써클#눈밑주름
  • [성형캐비닛] 중년눈성형 잘 됐는지 직접 보자|무보정전후영상 (시선성형외과)
    #성형캐비닛# 중년눈성형# 상안검# 하안검# 눈썹거상# 이마거상# 처진눈수술
  • [성형캐비닛] 중년눈성형 Q&A |50대인데 쌍꺼풀 수술하면 인상이 많이 바뀌나요?
    #성형캐비닛# 중년눈성형# 상안검# 하안검# 눈썹거상# 이마거상# 처진눈수술
  • [필수 시청] 눈성형 수술 후 주의사항, 관리법 꼭 지켜주세요! (쌍수,트임,복원 등등)
    #눈성형후주의사항#주의사항#관리법
  • [필수 시청] 눈성형 수술 전 주의사항 꼭 지켜주세요! (쌍수,트임,복원 등등)
    #눈성형수술전주의사항#주의사항
  • [시선 철학] 예쁜 눈에는 공통점이 있다?! 예쁜 눈의 기준, 예쁜 눈이 되기 위한 방법은?
    #시선철학#눈성형#반달눈성형#트임#쌍꺼풀
  • [성형캐비닛] 중년눈성형 총정리, 10년 전으로 되돌리는 방법은? 상안검,하안검,눈썹거상,이마거상,뒤밑트임
    #중년눈성형#상안검#하안검#눈썹거상#이마거상#뒤밑트임
  • [성형캐비닛]중년눈성형, 처진눈 개선하는 방법 총집합!
    #중년눈성형#처진눈수술#삼각형눈매#눈썹거상#상안검#이마거상#눈매교정
더보기

Before & After

수술날짜
2026.01.20
수술경과
2026.01.20

#SELSTAGRAM
#SISUNLISM
#EYE

시선 성형외과 AFTER REAL SELFIE

수술 후 2년 경과

비절개 눈매교정+뒤밑트임

비절개 눈매교정+뒤밑트임
수술 후 4개월 경과

매몰 쌍꺼풀(재수술)+윗트임+뒤밑트임+풀페이스 지방이식

매몰 쌍꺼풀(재수술)+윗트임+뒤밑트임+풀페이스 지방이식
수술 후 1년 2개월 경과

뒤밑트임+코수술

뒤밑트임+코수술
빠른상담

하안검 시선TV

중년눈성형 닥터스노트